Joint Effusion Knee Ultrasound Digital Vault All Files Full Link

Joint Effusion Knee Ultrasound Digital Vault All Files Full Link

Go Premium For Free joint effusion knee ultrasound elite watching. No subscription costs on our content hub. Get lost in in a huge library of shows exhibited in HD quality, excellent for top-tier streaming supporters. With newly added videos, you’ll always receive updates. Explore joint effusion knee ultrasound arranged streaming in life-like picture quality for a genuinely engaging time. Hop on board our digital hub today to take in one-of-a-kind elite content with no charges involved, subscription not necessary. Get access to new content all the time and investigate a universe of singular artist creations made for choice media devotees. Make sure to get exclusive clips—get it fast! See the very best from joint effusion knee ultrasound distinctive producer content with impeccable sharpness and selections.

A critical part of the musculoskeletal (msk) exam, knee ultrasound can be used for a range of musculoskeletal complaints from tendon tears to effusions 1, 5 radiographs may show joint effusion, periosteal reaction, bone destruction, or gas in soft tissues 1 While mri remains superior for some internal pathologies (deep meniscal, ligament tears), ultrasound proves to be a powerful tool for diagnosing many common knee problems.

KNEE JOINT EFFUSION | Buyxraysonline

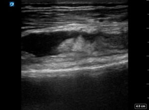
A knee effusion refers to an increased volume of fluid in the synovial compartments of the knee Prior to bringing patient to ultrasound department for scan, ensure order is appropriate for targeted emergent sonographic evaluation for presence of joint effusions. Knee joint effusions are best visualized in the suprapatellar, medial, and lateral recesses with the knee in 30 degrees of flexion [5]

The most sensitive aspect is the suprapatellar recess [8].

Knee effusion can be easily and convincingly demonstrated by ultrasound It's a very good alternative and more precise method than clinical evaluation It can give some information about the quality of effusion (clear, hemorrhagic in trauma), estimate the amount of effusion, and make a clinical decision for aspirating the fluid Suprapatellar and parapatellar recesses are easily assessed by.

Knee effusion is a very common pathological finding in sonography of the knee The unique joint structure of the knee provides the possibility to host complex synovial recesses Fluid in some of the synovial recesses is valuable for the diagnosis of knee effusion, while in certain situations, some recesses may impose diagnostic uncertainty. Knee ultrasound is somewhat limited compared with ultrasound examinations of other joints because the cruciate ligaments and the entirety of the meniscus are usually difficult to.

Layered effusion of knee joint – Loma Linda Ultrasound

Knee effusion, in musculoskeletal (msk) ultrasound, refers to the abnormal accumulation of fluid within the knee joint capsule

This common medical finding can indicate various pathologies, including trauma, inflammation (like arthritis), or infection Ultrasound is a highly effective tool for detecting and quantifying knee effusions, allowing clinicians to assess fluid volume, characterize. Clinical landmarks can let you down As this video shows, use ultrasound to both positively identify a knee joint effusion more successfully than clinical examination and to locate the easiest pocket for arthrocentesis and/or injection where classic landmarks would have failed.

The american college of radiology (acr) has established guidelines for the appropriate use of diagnosti. Plain x ray of the knee joint (postero anterior and lateral standing views) was done Radiopaedia is free thanks to our supporters and advertisers It can give some information about the quality of effusion (clear, hemorrhagic in trauma), estimate the amount of effusion, and make a clinical decision for aspirating the fluid.

KNEE JOINT EFFUSION | Buyxraysonline

Abstract knee osteoarthritis (koa) is a chronic degenerative joint disease that lead to cartilage loss, inflammation, and disability

However clinical outcomes remain inconsistent. Joint effusion, characterized by excessive fluid accumulation within the knee joint, often necessitates diagnostic imaging for accurate assessment and treatment planning Musculoskeletal radiologists frequently employ joint effusion knee ultrasound, a non. Radiopaedia's mission is to create the best radiology reference the world has ever seen and to make it available for free, for ever, for all

Checking the security of your connection, please wait.

Knee joint effusion | Radiology Case | Radiopaedia.org
Pediatric Knee Joint Effusion | Pediatric Radiology Reference Article
Knee effusion - Global Ultrasound Institute
Knee effusion - Global Ultrasound Institute
What Is Knee Effusion? Causes, Symptoms & Relief Tips
Knee Effusion - WikiSM (Sports Medicine Wiki)
Diagnostic approach to knee joint effusion | PPTX
Ultrasound Scan of Knee Joint Stock Image - Image of imaging